ФАЗЫ РАБОТОСПОСОБНОСТИ
05.01.2010 14:23
словарь
Фазы работоспособности — закономерная последовательность изменений (динамика) работоспособности, отражающая динамику функционального состояния человека, в процессе деятельности.Фаза мобилизации — исходное, предрабочее, «предстартовое» состояние. Суть этой фазы — подготовка к выполнению конкретной задачи и мобилизация функциональных возможностей организма. Как правило, характеризуется генерализованной активацией большинства структур мозга.
>Фаза врабатывания — нарастание работоспособности — первичная реакция организма на испытываемую нагрузку, недостаточно высокая эффективность работы, поиск адекватного реагирования на предъявляемую нагрузку. Характеризуется неустойчивостью динамического взаимодействия отдельных структур мозга.Фаза гиперкомпенсации — кратковременная чрезмерно высокая работоспособность за счет нерационального нарастания напряженности физиологических процессов, лежащих в основе деятельности. Эта фаза может «вклиниваться» в фазу врабатывания или в фазу субкомпенсации как результат недостаточно сформированных механизмов мозговой организации деятельности. Фаза оптимальной работоспособности — высокий уровень работоспособности с полной компенсацией затрат организма.Фаза субкомпенсации — сохранение высокого уровня работоспособности при неполной компенсации затрат организма, нарастание утомления, снижение эффективности работы. С ухудшением функционального состояния организма нарастают признаки утомления.
>Фаза декомпенсации (начальная фаза утомления) — продолжение фазы субкомпенсации
Появляются выраженные вегетативные реакции, снижается внимание, восприятие, память, нарушаются точность и координация ответных реакций, снижается работоспособность. При продолжении работы эта фаза может внезапно перейти в фазу срыва.Фаза срыва (утомления) характеризуется значительным расстройством регуляторных механизмов организма и завершается отказом от деятельности, нарушением внимания, восприятия, памяти, мышления
В некоторых случаях в конце работы может появиться кратковременное возрастание, «всплеск» работоспособности (фаза конечного порыва) в результате эмоционального воздействия и возросшей мотивации скорейшего успешного завершения деятельности. В этот момент физиологическая «цена деятельности» максимальна.Продолжительность и выраженность перечисленных фаз зависит от многих факторов (возраст, характер работы, организация деятельности, тип высшей нерв ной деятельности, опыт работы, мотивация и др.).
Новые статьи:
- ФАЛЕС
- ФАКТОРЫ, ВЛИЯЮЩИЕ НА ЗДОРОВЬЕ
- ФАКТОРЫ РИСКА. ПСИХОФИЗИОЛОГИЧЕСКИЙ АСПЕКТ
- ФАКТОРЫ РИСКА
- ФАКТОРЫ РАЗВИТИЯ ПСИХИКИ РЕБЕНКА
- ФАКТОРНЫЙ АНАЛИЗ
- ФАКТОР РИСКА
- ФАКТОР НЕЙРОПСИХОЛОГИЧЕСКИЙ
- ФАКТ
- ФАЗЫ РАЗВИТИЯ ВЗАИМООТНОШЕНИЙ В ПСИХОТЕРАПЕВТИЧЕСКОЙ ГРУППЕ
Старые статьи:
- ФАВОРИТИЗМ ВНУТРИГРУППОВОЙ
- ФАБРИ
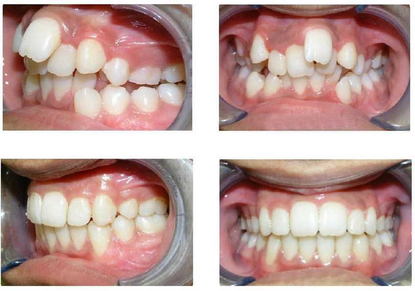
Кому и зачем нужен ретенционный этап?
В той или иной степени этот этап нужен всем пациентам, так как необходимо закрепление корней зубов в новом положении.
Костная ткань у человека постоянно обновляется: одни клетки отмирают, другие появляются на их месте. В молодом возрасте этот процесс проходит быстро, а с возрастом замедляется. Кроме того, чем старше пациент на момент начала лечения, тем больше лет корни зубов привыкли к неправильному положению.
Если начать исправлять прикус в 16 лет, то получится, что к началу лечения корни зубов находятся в неправильном положении всего около 4 лет (если считать, что возраст формирования постоянного прикуса – примерно 12 лет). Но многие обращаются к ортодонту в 30–35 лет и даже позже. Хотя нет никакого ограничения по возрасту, но только представьте – нужно исправить положение, в котором зубы пребывали больше 20 лет!
Зубы могут быть в неправильном положении 20 лет и больше, а перемещение отдельных зубов – до 1 см
Неудивительно, что после снятия брекетов или прекращения ношения элайнеров зубы тут же будут стремиться вернуться на свое старое место. Чтобы предотвратить это, и нужен ретенционный этап.
В это время костная ткань вокруг корней постепенно обновляется и уплотняется. Чем человек моложе, тем этот процесс активнее.
Сколько длится этот этап?
Стандартный срок для взрослых – в два раза больше, чем длилось лечение. То есть если активный этап перемещения зубов прошел за 12 месяцев, ретенционный этап длится не менее 2 лет. Но это усредненный срок. В каждом конкретном случае врач определяет длительность этапа закрепления индивидуально.
Важно заметить, что нет никаких способов определить, надежно ли зубы закрепились на новом месте. А если прекратить ретенционный этап слишком рано, то есть риск, что через месяц или два зубы могут сдвинуться в неправильное положение, причем произойдет это незаметно
Скорее всего, не до исходного состояния, но даже небольшое отклонение уже может сделать улыбку менее идеальной.
Поэтому гораздо лучше перестраховаться и носить стабилизирующие каппы чуть дольше, но сохранить результат.
В настоящее время даже сам процесс лечения достаточно простой и комфортный. Элайнеры причиняют минимум неудобств, а привыкнуть к ним очень просто. А по сравнению с этапом активного перемещения зубов ретенционный период проходит еще проще, ведь в дневное время вообще не нужно надевать каппы.
Менструация – первая стадия цикла
Менструация является первой стадией менструального цикла. Средняя продолжительность менструации составляет 4-5 дней. В этот период происходит отслаивание слизистой оболочки матки (эндометрия), которая не использовалась для имплантации эмбриона в предыдущем цикле. Т.е. менструальные выделения – это отслоившийся эндометрий.
В этой фазе цикла в яичниках присутствует много первичных фолликулов. Они еще незрелые и продолжать расти. Шейка матки в этот период не выделяет слизь, так как в ней нет необходимости. Уровень гормонов – эстрогенов и прогестерона в этот период менструального цикла очень низок.
Женщины во время менструации могут чувствовать боль внизу живота, возможны и другие неприятные симптомы. Однако очень сильная боль, вызывающая нарушения и мешающая повседневной деятельности, должна вызывать беспокойство и быть причиной обращения к гинекологу. Мучительные боли при месячных – это не норма, а симптом нарушений, который нельзя игнорировать.
Что нужно делать на ретенционном этапе?
Смысл этапа состоит в том, чтобы постепенно ткани челюсти укрепились вместе с новым положением корней зубов. Ускорить этот процесс невозможно. Но можно помочь зубам в этот период:
Есть больше твердой пищи – сырых овощей и фруктов. Это своеобразная «зарядка», которая укрепляет десны и корни зубов. Когда зубы нагружаются пережевыванием твердой пищи, они выполняют свою функцию по максимуму, а значит, корни получают в ответ достаточное кровоснабжение. Это способствует сохранению здоровья зубов и десен.
Твердые сырые овощи и фрукты – как «зарядка» для зубов
- Употреблять продукты, содержащие достаточно кальция и фосфора. Это основные строительные материалы для костной ткани. Они содержатся в твороге, сыре, индейке, рыбе, орехах, кунжуте. Решение о том, нужно ли дополнительно пить минеральные добавки в виде таблеток, принимают после консультации с врачом.
- Не забывать о посещении врача-ортодонта раз в 6 месяцев, по крайней мере в первые год-полтора после окончания лечения. Врачу гораздо проще заметить малейшие отклонения положения зубов от того результата, который был достигнут. При необходимости врач предложит способы коррекции либо порекомендует продлить ретенционный период.
Другие статьи:
- Можно ли винирами исправить кривизну зубов?
- Лингвальные брекеты 2d
- Что могут элайнеры?
Причины нарушения менструального цикла
Механизм женской репродуктивной системы очень тонко реагирует на любые изменения в организме. Практически любое состояние, заболевание или психологическое событие в жизни, может отразиться на стабильности менструального цикла. Условно, причины можно разделить на три группы3:
- Внешние факторы – сюда относятся причины «от головы», акклиматизация или влияние серьезных диеты;
- Внутренние факторы – патологии работы органов половой системы и не только;
- Медикаментозные факторы – побочный эффект из-за принятия определенных типов лекарств.
Многие считают, что основной причиной нарушений месячного цикла являются гормональные сбои в организме девушки или женщины. Подобное действительно случается часто, но у всего есть свои причины и гормональный сбой не исключение. На выработку гормонов влияет множество факторов, от заболевания органов, которые производят те самые гормоны, до обычной простуды и потребления большого количества фаст-фуда. Независимо от группы причин и гормонов, врачи выделяют немало других виновников НМЦ4:
- гинекологические заболевания – миома матки, рак матки, воспаления придатков и матки, заболевание яичников и другое;
- психологические заболевания и стресс;
- генетические заболевания;
- экстрагенитальные заболевания – проблемы с сердцем, болезни крови, внутренних органов и центральной нервной системы;
- различные инфекционные заболевания – ветрянка, краснуха, половые инфекции и другое;
- физическое повреждение женских органов – аборт, операции на матке и прочее;
- нарушение связи между гипофизом и гипоталамусом – части мозга, ответственные за выработку необходимых женскому организму гормонов;
- резкое изменение массы тела;
- авитаминоз или гиповитаминоз;
- вредные привычки – курение, алкоголизм, наркомания.
Достаточно часто, от врачей можно услышать такое понятие, как аномальные маточные кровотечения. АМК — это современное медицинское название нарушений менструального цикла, которые связаны с длительностью или продолжительностью цикла. Стоит отметить, что на подобную проблему приходится 20% всех обращений к гинекологу5.
Овуляция – выпуск яйцеклетки
Овуляция является ключевым моментом менструального цикла. Во время овуляции яйцеклетка высвобождается из доминирующего фолликула. Это возможно благодаря так называемому гормональному пику ФСГ и ЛГ – то есть пиковым уровням этих гормонов гипофиза.
Овуляция
Максимальные концентрации гормонов достигаются примерно за 24 часа до овуляции. Механизм этого процесса очень сложен и работает по принципу положительной обратной связи между эстрогенами и ФСГ и ЛГ. Выпуск яйцеклеток может давать клинические признаки в виде боли внизу живота, тошноты, головной боли и вздутия живота. У некоторых женщин наблюдаются легкие выделения.
Слизистая оболочка матки под воздействием очень высоких концентраций эстрогенов достигает значительной толщины. Цервикальная слизь в этот момент самая обильная, растяжимая и полностью прозрачная. Это дает сперме возможность быстро добраться до яйцеклетки.
Когда начинать реабилитацию после коронавируса?
Основной этап восстановления после Covid-19 — дыхательная гимнастика. Ее начинают делать сразу после того, как нормализуется температура, постепенно добавляя новые упражнения с учетом самочувствия.

Если вы лечите коронавирус в клинике, пульмонолог покажет, как делать лечебную гимнастику. Если в период реабилитации после коронавируса вы находитесь дома, то можно делать дыхательные упражнения самостоятельно.
Две недели занимает первый этап восстановления
Выполняя гимнастику в это время, важно следить за пульсом с помощью наручных умных часов и приостанавливаться, если начинает кружиться голова
Также в этот период врач направит вас на физиопроцедуры — например, на лазеролечение, УЗ-терапию, ингаляции, чтобы предотвратить фиброз легких и очистить органы дыхания от мокроты
Для стойкого эффекта и профилактики осложнений важно пройти весь курс, не пропуская сеансы. Пульмонолог будет наблюдать за результатами и скажет точно, какой срок реабилитации после коронавируса актуален в вашем случае

С двух недель до месяца пациент подключает новые упражнения для укрепления сердца и остальных мышц. Еще он ходит на массаж грудной клетки и спины — это тоже помогает восстановить крово- и лимфоток и улучшить самочувствие. Срок реабилитации после болезни COVID-19 сократится, если пациент не будет пропускать зарядку и массаж.
С трех месяцев до полугода человек продолжает выполнять лечебную гимнастику каждый день и приходит к пульмонологу раз в месяц на консультацию. В это время полезно пройти спирометрию и задуматься о занятиях фитнесом под присмотром инструктора ЛФК. Разумная и регулярная физическая нагрузка поможет окончательно попрощаться с одышкой, болью в груди и чувством мышечной слабости.
3 совета по восстановлению после коронавируса
- прежде чем полноценно вернуться к физической активности, необходимо получить рекомендации от врача. Люди с хроническими болезнями и переболевшие тяжелой формой COVID-19, нуждаются в дальнейшем наблюдении;
- возвращайтесь к упражнениям, прежней активной нагрузки только через семь дней после болезни. Начинайте нагружать организм постепенно, дайте как минимум две недели, чтобы тело привыкло к нагрузкам;
- используйте ежедневный самоконтроль, чтобы отслеживать прогресс.
Мы рассказали, сколько времени длится реабилитация после коронавируса. Лечебная гимнастика, витамины и ежедневные прогулки восстановят ваше тело и позволят забыть о тяжелой болезни.
Вся информация, представленная в данной статье и на данном сайте, носит исключительно справочно-ознакомительный характер и не может расцениваться как медицинская консультация или рекомендация. «Система Забота» ни в коем случае не несет ответственности перед какими-либо лицами за ущерб или последствия, наступившие в результате использования информации, содержащейся на данном сайте.
Перед тем, как воспользоваться советом и начать что-то применять на практике, пожалуйста, обязательно проконсультируйтесь с лечащим врачом или обратитесь к медицинским специалистам «Системы Забота».
Постовуляторная фаза (лютеиновая, секреторная)
Название этой фазы месячного цикла происходит от латинского словосочетания corpus luteum. Доминирующие клетки фолликула, которые окружали яйцеклетку до овуляции, превращаются после овуляции в желтое тело. Его основная роль – производство большого количества прогестерона. Именно прогестерон является основным гормоном постовуляторной фазы месячного цикла.
Если происходит оплодотворение, желтое тело будет питать эмбрион и отвечать за поддержание беременности до формирования плаценты. Значительные количества прогестерона и низкие уровни ФСГ и ЛГ в этой части менструального цикла также защищают от возможности новой овуляции в этом цикле
Это очень важно для безопасности и правильного развития потенциального эмбриона.
Прогестерон также ответственен за значительные изменения в эндометрии. Именно он заставляет эндометриальные железы вступать в фазу секреции. Они становятся плотными, волнистыми, накапливают значительные количества гликогена, жира и белка. Эти изменения должны лучше подготовить слизистую оболочку к имплантации эмбриона.
Прогестерон в этой фазе месячного цикла также ответственен за изменения в слизистой шейки матки. Слизь становится густой, липкой и непрозрачной. Благодаря этим свойствам, сперма не сможет пройти через слизистую пробку в матку. У некоторых женщин после овуляции не наблюдается большого количества слизи.
Все эти механизмы защищают от возможности последующего оплодотворения. Постовуляторная фаза месячного цикла у здоровой женщины постоянна и длится около 13-14 дней. Если этот период чрезмерно укорочен, увеличивается риск выкидышей и бесплодия.
В конце менструального цикла, если оплодотворения не было, происходит довольно резкое снижение уровня гормонов. В это время некоторые женщины испытывают раздражительность, усталость, общее недомогание, подавленное настроение, головные боли и боли в груди. Могут также появиться проблемы с кожей. Эти симптомы известны, как предменструальный синдром и обычно исчезают с началом кровотечения.
Лечение нарушений менструального цикла
Учитывая скрытые опасности НМЦ, даже легких форм, лечение является логичной и единственной правильной реакцией женщины на подобную проблему. После диагностики и установления причин НМЦ, назначается действенная терапия. Только врач может назначить правильное лечение, самолечение может сильно усугубить проблему.
При инфекционных заболеваниях, могут назначаться антибиотики и противобактериальные средства. Физиотерапия служит подспорьем в выздоровлении. Общий упадок сил и слабый иммунитет смогут поправить здоровое питание, активная физическая нагрузка и комплексы витаминов. Среди витаминов, особым уважением пользуется витамин Е, который хорошо себя проявляет при гормональных причинах НМЦ.
При сильных кровотечениях назначают кровоостанавливающие препараты. Дополнительно могут браться соскобы на гистологический анализ. При необходимости назначается корректирующая гормональная терапия. В редких случаях могут быть даны направления на переливание крови и выписаны рецепты на препараты с высоким содержанием железа.
Лечение НМЦ в подростковом возрасте и зрелом, практически не различаются. Во время климакса, врачам нужно быть особенно внимательными, так как сильные кровотечения могут свидетельствовать о серьезных заболеваниях.
Практически всегда, подход к лечению НМЦ в репродуктивном возрасте кроется в определении причины патологии и ее устранении. Женщине с лишним весом, вероятно будет достаточно нормализовать питание и сбросить лишние килограммы, а девушке, которая морит себя голодом и диетами, повысить калорийность потребляемых продуктов. Но факт остается, при подозрении на НМЦ всегда следует обращаться к врачу, как минимум за консультацией4.
Менструальный цикл – определение, особенности и продолжительность
Главное проклятье или величайшее чудо природы.
Прежде чем начать разбираться с нарушениями в работе менструального цикла, необходимо понять, что цикл из себя представляет. Многие девушки давно забыли или даже не знали как устроен их собственный организм.
Менструальный цикл – это временной отрезок от одной менструации, до другой. Ключевое слово цикл, которое означает, что начавшись однажды, все возвращается к исходной точке отсчета, то есть соблюдается цикличность процесса.
Ежемесячные процессы которые происходят в женском организме имеют прямое отношение к репродуктивной системе. Менструальный цикл невозможен без участия таких гормонов, как эстроген и прогестерон. В начале цикла идет сильная выработка эстрогена, растут фолликулы и яйцеклетка, развивается слой эндометрия. Данный этап не проходит без участия, известным многим, фолликулостимулирующих и лютеинизирующих гормонов (ФСГ и ЛГ).
Ближе к середине цикла запускается механизм овуляции
, при котором в яичнике формируется желтое тело – железа, вырабатывающая гормон прогестерон. Именно прогестерон готовит женский организм к возможному зачатию. Уже сформированный слой эндометрия готов принять оплодотворенную яйцеклетку1.
Если в жизни женщины присутствует мужчина, то возможна неожиданная или долгожданная встреча яйцеклетки и сперматозоида, в таком случае происходит оплодотворение. Если яйцеклетка избежала встречи со сперматозоидом, то она становится никому не нужной и организм ее отвергает, вместе со слоем эндометрия. Женщина вынуждена терпеть кровяные выделения, смену настроения, тошноту и даже повышение температуры.
Продолжительность менструального цикла всегда индивидуальна, важна именно регулярность и цикличность. Условно, по продолжительности, циклы различают на короткий, стандартный и длинный. Нормальной продолжительностью принято считать от 21 до 35 дней. Если цикл сменяется быстрей 21 дня, то он считается коротким, если протекает дольше 35 дней, то длинным. Самое распространенное значение зафиксировано на цифрах в 26-29 дней2.
Появление менструального цикла связано с половым созреванием девушки и сообщает о старте репродуктивных функций организма. То есть молодая девушка с данного времени способна родить ребенка. Чаще всего, первая менструация приходит в возрасте 11-14 лет, далее в течение года менструальный цикл устаканивается и формируется регулярность. В возрасте 45-50 лет, менструальный цикл покидает организм, наступает климактерический период (угасание репродуктивных функций женского организма)3.
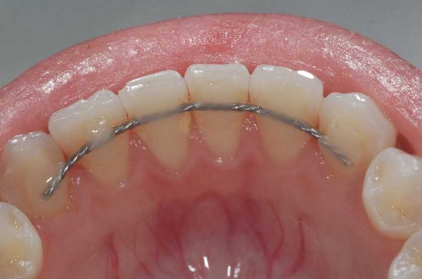
Какие ортодонтические конструкции используют на этом этапе?
На нижние зубы обычно устанавливают несъемный ретейнер. Это тонкая металлическая проволока из того же сплава, что и дуга брекетов, и примерно такой же толщины. Ретейнер устанавливается с обратной (лингвальной) стороны с помощью пломбировочного материала. Поверхность ретейнера и креплений гладкая, не мешает чистке и никак не ощущается.
Так выглядит ретейнер для зубов
Но ретейнер удерживает на месте только нижние зубы. Чтобы стабилизировать положение верхних, используют прозрачную каппу. Ее изготавливают по слепкам, которые снимают с зубов сразу после завершения лечения. То есть каппа повторяет ту идеальную форму зубного ряда, которая получена в результате. Каппу нужно носить в ночное время.
Что такое менструальный цикл?
Механизм менструального цикла очень сложен. Он тесно зависит от точной гормональной регуляции. Основные гормоны, регулирующие месячный цикл:
- эстрогены;
- прогестерон;
- фоллитропин (ФСГ);
- лютропин (ЛГ).
Каждый из них несет ответственность за конкретные изменения, а их взаимное влияние является неотъемлемым элементом правильного хода цикла.
Схема менструального цикла
Чтобы облегчить описание и понимание сложного курса месячного цикла, его обычно делят на три компонента:
- цикл яичников;
- эндометриальный цикл (описывающий изменения в эндометрии);
- цикл шейки матки.
Менструальный цикл женщины начинается в первый день менструации и заканчивается в первый день следующего кровотечения. Обычно у здоровых женщин цикл длится 28 дней. Тем не менее он варьируется индивидуально и зависит от множества различных факторов.
На продолжительность цикла влияют:
- стресс;
- диета;
- периодичность сна;
- климат;
- прием лекарств.

Диета

Прием лекарств
Также женщины часто наблюдают изменение длины цикла после родов (по сравнению с состоянием до беременности). Однако наиболее важным элемент, влияющий на длину и ход менструального цикла, – гормоны.
Рекомендуем прочитать
Программа реабилитации после коронавируса
Грамотно составленная восстановительная программа поможет вернуть силы, выносливость, продуктивность и вернуться к повседневной деятельности и работе
В статье рассказываем, какой должна быть правильная программа реабилитации после коронавируса и к кому обратиться за помощью
Где пройти реабилитацию после коронавируса?
Где лучше реабилитация после COVID-19: в поликлинике, в специальном медицинском центре, на дому или самостоятельно? Разбираемся в этой статье.
Реабилитация после ковида: дыхательные упражнения
В течение полугода после стабилизации самочувствия важно заниматься реабилитацией. Для этого не обязательно приходить в реабилитационный центр: комплекс упражнений после коронавируса можно выполнять дома
В статье рассказываем, какие упражнения хорошо помогают восстановиться после COVID-19.






























